Kỳ tích: Lần đầu tiên tại Việt Nam, vi phẫu thuật thành công cứu sống ngón tay thủy thủ bị đứt rời sau 25 giờ
09/12/2025 09:48
Trong khi đang làm nhiệm vụ trên tàu viễn dương di chuyển qua vùng biển miền Trung – Việt Nam, anh D là thủy thủ tàu viễn dương đã gặp tai nạn nghiêm trọng. Bão số 12 đổ bộ khiến con tàu chao đảo mạnh vào thời điểm anh D đang sửa chữa thiết bị. Cú va đập bất ngờ khiến anh bị đứt rời ngón trỏ tay phải.

Hình ảnh ngón tay trỏ đứt rời của anh D trước phẫu thuật vi phẫu nối ngón tay
Rất may, các thuyền viên trên tàu đã nhanh chóng sơ cứu và bảo quản phần chi thể đứt rời được đặt vào bình giữ nhiệt, đưa anh lên bờ và tiếp cận cơ sở y tế gần nhất tại miền Trung. Lúc này bão gió rất to, việc đưa anh D vào bờ thực sự rất khó khăn và cần sự hỗ trợ rất lớn của cơ quan tìm kiếm cứu hộ cứu nạn quốc gia. Trong tình huống khẩn cấp, sau khi được nhân viên y tế hỗ trợ xử trí cấp cứu, anh D mong muốn được nối lại phần chi thể đứt rời, chính vì vậy anh và gia đình quyết định đón chuyến bay sớm nhất từ Đà Nẵng ra Hà Nội ngay rạng sáng hôm sau đến Bệnh viện Hữu nghị Việt Đức. Tổng thời gian thiếu máu lên tới 25 giờ.

Ê-kíp mổ thực hiện vi phẫu nối lại ngón tay cho người bệnh với kính hiển vi
Tại Bệnh viện Hữu nghị Việt Đức, các chuyên gia đã đánh giá phần chi thể đứt rời và ghi nhận: phần chi thể đứt rời đã được sơ cứu – bảo quản đúng cách, khớp ngón tay còn mềm, cấu trúc mô được bảo toàn tốt. Bệnh viện lập tức hội chẩn đa chuyên khoa gồm phẫu thuật tạo hình thẩm mỹ, gây mê hồi sức, chấn thương chỉnh hình để đưa ra chiến lược xử trí tối ưu và quyết định thực hiện vi phẫu nối lại ngón tay cho người bệnh.

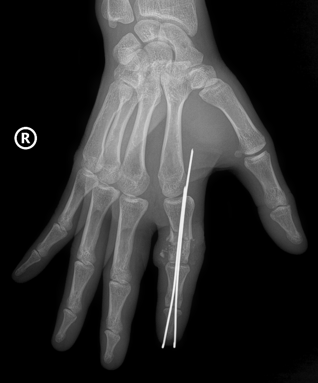
Hình ảnh X-Quang phần ngón trỏ tay phải bị đứt rời của anh D được định vị và cố định bằng kim chuyên dụng
Tại phòng mổ, kíp phẫu thuật cấp cứu được triển khai với sự phối hợp đa chuyên khoa: vi phẫu tạo hình, gây mê hồi sức, chấn thương chỉnh hình… Hai kíp phẫu thuật được triển khai song song, một kíp làm sạch và chuẩn bị phần ngón đứt rời, kíp còn lại chuẩn bị phần mỏm cụt. Xương ngón được định vị và cố định bằng kim chuyên dụng để tạo trục vững, hệ thống gân và dây chằng được phục hồi. Đặc biệt là thần kinh và các mạch máu nhỏ li ti chỉ khoảng 0,8 – 1mm được phục hồi với độ chính xác cao dưới kính hiển vi phẫu thuật với dụng cụ đặc biệt nhằm đảm bảo phục hồi lưu thông tưới máu cho phần đứt rời.
Đây là kỹ thuật đòi hỏi sự tinh vi ở mức cao nhất, bởi chỉ cần một mối nối mạch máu không thông, dòng máu không thể nuôi được đầu ngón và phần chi sẽ hoại tử. Với trường hợp thiếu máu kỷ lục kéo dài 25 giờ, từ lượng máu tưới đến nhiệt độ của ngón tay, kiểm soát nguy cơ co thắt mạch và giám sát tuần hoàn ngoại vi sau mổ để đảm bảo ngón tay được hồi sinh trọn vẹn.

Các mạch máu và dây thần kinh được hồi phục sau vi phẫu thuật nối ngón tay
TS.BS Vũ Trung Trực – Phó Trưởng khoa Phẫu thuật Hàm mặt, Tạo hình và Thẩm mỹ, Bệnh viện Hữu nghị Việt Đức, người trực tiếp thực hiện ca phẫu thuật, chia sẻ: “Đây là trường hợp cực kỳ đặc biệt. Trong những ca nối chi thể, thời gian thiếu máu kéo dài thường là rào cản rất lớn. Trước phẫu thuật, người bệnh và phần cơ thể đứt rời cần được đánh giá bởi đội ngũ các bác sĩ đa chuyên khoa nhiều kinh nghiệm. Trường hợp này, nhờ bảo quản phần chi thể đứt rời đúng cách ngay từ hiện trường, khớp ngón tay không bị cứng nhờ được bảo quản ở nhiệt độ phù hợp. Một yếu tố nữa, cấu trúc ngón tay (bao gồm: xương, da, dây thần kinh, mạch máu) có khả năng chịu thiếu máu tốt hơn so với phần chi thể có nhiều cơ nên phần ngón tay bị thiếu máu 25 giờ nhưng vẫn có thể được nối lại. Đồng thời, đội ngũ y bác sĩ giàu kinh nghiệm và sự phối hợp tốt giữa các chuyên khoa cũng là thế mạnh của bệnh viện. Đây chính là những điểm quyết định lớn đến thành công của ca phẫu thuật”.

Ca phẫu thuật diễn ra thành công với ngón tay được nối liền sau 25 giờ
Sau phẫu thuật, vết thương đã liền, ngón tay hồng, sống hoàn toàn, người bệnh đã có thể cắt chỉ và rút kim cố định. Người bệnh đang được tập phục hồi chức năng để lấy lại khả năng vận động và cảm giác của ngón tay.

TS.BS Vũ Trung Trực – Phó Trưởng khoa Phẫu thuật Hàm mặt, Tạo hình và Thẩm mỹ thăm khám sau phẫu thuật cho người bệnh
Tai nạn đứt rời ngón tay, bàn tay hay các phần cơ thể có thể xảy ra bất cứ lúc nào, từ lao động sản xuất, tai nạn sinh hoạt cho đến tai nạn trên biển như trường hợp của anh D. Vì vậy, chuyên gia khuyến cáo người dân cần trang bị kiến thức sơ cứu đúng cách, bởi đây là yếu tố quyết định khả năng cứu sống chi thể:
– Không rửa, không ngâm chi thể đứt rời vào bất kỳ dung dịch nào. Trong trường hợp phần đứt rời trong môi trường bẩn nhiều dị vật, có thể rửa dưới vòi nước sạch, tốt hơn là nước uống tinh khiết hoặc nước đun sôi để nguội.
– Bọc phần chi thể bằng gạc/khăn sạch, cho vào túi nylon và buộc kín (tránh tiếp xúc trực tiếp với đá lạnh).
– Đặt túi đựng chi thể vào một túi khác có chứa đá lạnh.
– Giữ phần chi thể trong môi trường sạch, ổn định nhiệt độ và vận chuyển nhanh nhất có thể.
– Đưa người bị nạn đến cơ sở y tế gần nhất để được xử trí và hướng dẫn tiếp theo.
– Không tự ý xử lý, không dùng thuốc, hóa chất sát trùng lên phần chi đứt rời.
Chuyên gia nhấn mạnh: Sơ cứu đúng cách giúp tăng cơ hội cứu sống phần chi thể đứt rời.
Việc trang bị kiến thức sơ cứu, bình tĩnh xử lý và bảo quản đúng ngay từ hiện trường giúp gia tăng đáng kể khả năng thành công của phẫu thuật, giúp phục hồi chức năng và thẩm mỹ, giảm nguy cơ tàn tật cho người bị tai nạn.






