Điều trị đa mô thức kết hợp phẫu thuật – bệnh nhân ung thư gan giai đoạn muộn thoát án tử
27/03/2026 07:51
Một bệnh nhân nam 64 tuổi với chẩn đoán ung thư biểu mô tế bào gan (HCC) huyết khối tĩnh mạch cửa, giai đoạn muộn được đạt kết quả ngoài mong đợi sau khi được điều trị đa mô thức, phẫu thuật kết hợp cắt gan và lấy huyết khối, tạo hình tĩnh mạch cửa. Bệnh nhân khám lại sau 4 năm được xác định không có u tái phát, gan còn lại chức năng tốt, không có tát phát tại gan và di căn xa.
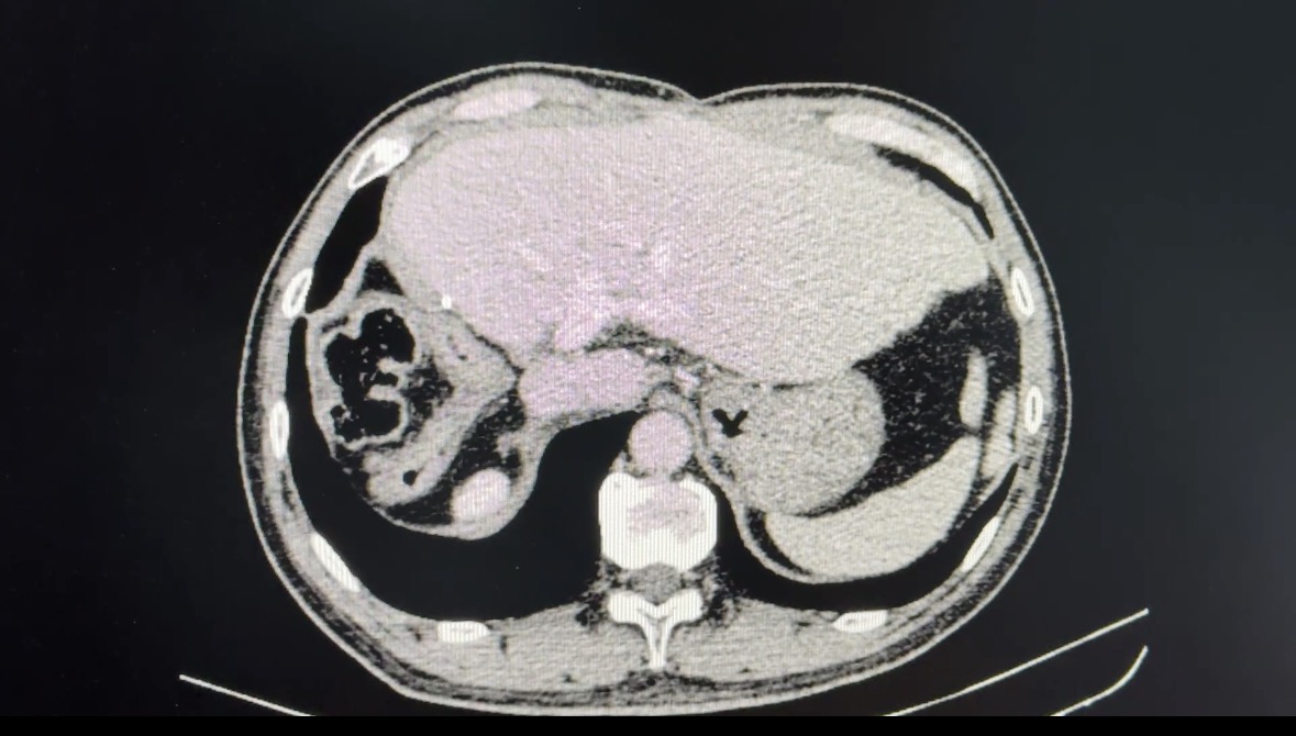
Cách đây 4 năm, bệnh nhân N.T.Đ (64 tuổi) được chẩn đoán ung thư biểu mô tế bào gan (HCC) lớn gan phải giai đoạn muộn, có huyết khối tĩnh mạch cửa lan thân chung và lan sang tĩnh mạch cửa bên trái trên nền viêm gan B, xơ gan. Bệnh nhân được chuyển đến Bệnh viện Hữu nghị Việt Đức sau thời gian điều trị tại tuyến dưới. Mặc dù được thăm khám tại các cơ sở y tế lớn, nhưng tiên lượng thời gian sống của bệnh nhân chỉ tính được bằng tháng.

Hình ảnh phim chụp cắt lớp vi tính u lớn gan phải kèm huyết khối tĩnh mạch cửa lan vào thân chung và tĩnh mạch cửa trái của người bệnh N.T.Đ
TS.BS Cao Mạnh Thấu – Phó Trưởng khoa Ung bướu & Xạ trị, Bệnh viện Hữu nghị Việt Đức cho biết với những trường hợp bệnh được chẩn đoán giai đoạn này, việc đánh giá toàn trạng bệnh nhân, chức năng gan của bệnh nhân có đảm bảo hay không, vị trí chính xác huyết khối tĩnh mạch cửa, đã có di căn xa hay chưa, đo đạc tỉ mỉ thể tích gan trái, tìm hiểu các bất thường về giải phẫu nếu có có vai trò đặc biệt quan trọng trước khi đề ra phương án phẫu thuật. Sau khi đã cân nhắc kỹ lưỡng, bệnh nhân được hội chẩn đa chuyên khoa (ung bướu và xạ trị, chẩn đoán hình ảnh, gây mê hội sức, ngoại khoa, dinh dưỡng, dược lâm sàng) và sự quyết tâm phẫu thuật của bệnh nhân, người nhà bệnh, chúng tôi quyết định phẫu thuật cắt gan phải, cắt một phần hạ phân thuỳ 1 (S1R, S1C), cắt túi mật, nạo vét hạch cuống gan, kết hợp lấy huyết khối tĩnh mạch cửa thân chung và tĩnh mạch cửa trái. Theo TS.BS Cao Mạnh Thấu, đây là một kỹ thuật phức tạp, đòi hỏi nhiều kinh nghiệm chuyên môn. Khối u lớn gan phải, trong mổ phẫu thuật viên không động chạm nhiều đến khối u tránh huyết khối tiếp tục lan sâu vào bên gan lành (gan trái), kiểm soát các mạch máu bao gồm động mạch gan, tĩnh mạch cửa có vai trò then chốt. Sử dụng bóng (Forgaty) để kiểm soát huyết khối, lấy toàn bộ huyết khối và tạo hình lại tĩnh mạch cửa đã được thực hiện thành công. Hậu phẫu diễn biến thuận lợi, chức năng gan trái đảm bảo, lưu lượng tuần hoàn tĩnh mạch cửa bình thường.

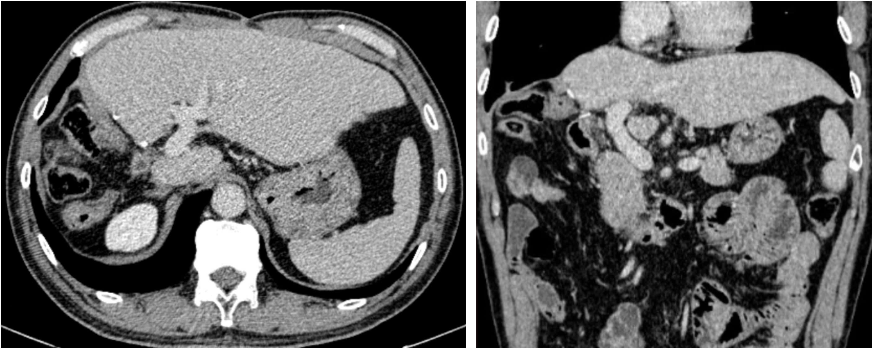
Kỹ thuật cắt gan tiếp cận đường trước (anterior approach), kết hợp lấy huyết khối tĩnh mạch cửa sử dụng bóng Forgaty và hình ảnh gan trái sau phẫu thuật
Trên thực tế, nếu chỉ đơn thuần thực hiện phẫu thuật mà không phối hợp các biện pháp điều trị phù hợp khác thì hiệu quả điều trị cho người bệnh sẽ không tối ưu. Vì vậy, trong những trường hợp này, bên cạnh cân nhắc thời điểm phẫu thuật phù hợp, chúng tôi lựa chọn phương pháp điều trị đa mô thức, điều trị truyền hoá chất động mạch gan sau mổ, điều trị toàn thân; nhằm đạt hiệu quả cao, bảo đảm an toàn cho người bệnh, cải thiện thời gian sống.

TS.BS Cao Mạnh Thấu – Phó Trưởng khoa Ung bướu & Xạ trị trao đổi với bệnh nhân về ca phẫu thuật

Hình ảnh chụp cắt lớp vi tính sau phẫu thuật 4 năm. Bệnh nhân gan trái tốt, tĩnh mạch cửa thông thoáng, không có tái phát tại gan và di căn xa.
Hiện nay trên thế giới, phần lớn bệnh nhân ung thư gan kèm huyết khối tĩnh mạch cửa được phát hiện ở giai đoạn muộn, do đó chủ yếu được chỉ định điều trị giảm nhẹ và chăm sóc triệu chứng. Trong thực hành lâm sàng, khi thăm khám và điều trị, nhiều trường hợp khối tổn thương gan ban đầu được nhận định là u lành tính. Tuy nhiên, dưới góc độ ung thư học, đặc biệt trên nền bệnh nhân viêm gan B mạn tính, sự xuất hiện của một khối tổn thương tại gan cần được đánh giá hết sức thận trọng. Các chuyên gia Bệnh viện Hữu nghị Việt Đức khuyến cáo, người mắc viêm gan B khi phát hiện có tổn thương tại gan cần được theo dõi và đánh giá kỹ lưỡng tại các cơ sở y tế chuyên khoa sâu về gan mật. Không nên chủ quan với chẩn đoán u lành tính ban đầu, bởi vẫn có thể tiềm ẩn nguy cơ ác tính./.
Phòng Công tác xã hội






